
Growth Scan
Growth Scan
£89 (Today's Deal £79 )
- Wellbeing assessment includes position of baby and placental position.
- Growth report includes estimated weight of baby at current gestation.
- Amniotic Fluid index measurement.
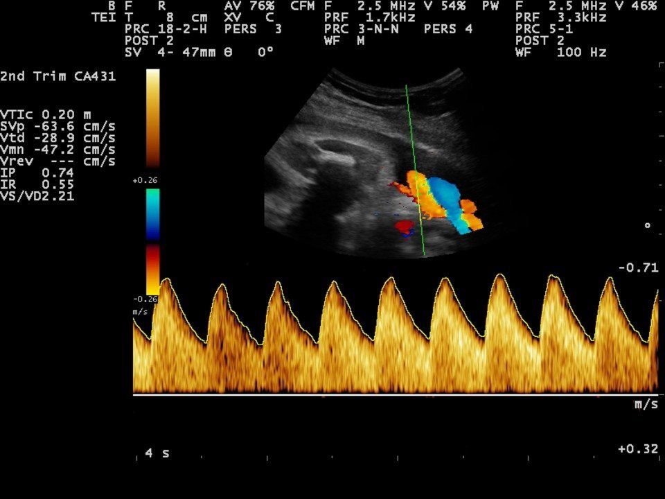
- Umbilical artery Doppler measurement.
- Middle Cerebral Artery Doppler measurement.
- Complimentary gender confirmed if requested
- 2x b/w images.
- 30 minutes appointment.